この治療は自費診療です。以下の情報を参考にしてご検討ください。詳しくは歯科医師からご説明させていただきます。
当院ではしっかりとマウスピース矯正治療のメリット、デメリットをお話し、あなたにとって最善の治療法を選択できるようにお手伝いいたします。
| 特徴 |
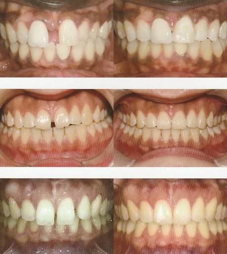
透明なマウスピースを使い、見た目を気にすることなく矯正治療をおこなうことができるシステムです。高度なアルゴリズムを利用して3D治療計画を作成し、治療予測をはじめからイメージして矯正治療を始めることができます。世界100ヵ国以上、800万人を超える方々がこのシステムで治療を受けています。矯正治療はしたかったけどワイヤーが目立って嫌だった方にお勧めの治療法です。 |
| メリット |
▶目立たない
▶マウスピースの取り外しができるので、食事が通常のようにできる。 ▶歯磨きがしやすい(=むし歯、歯周病のケアがしやすい) ▶人と会うときなど、いざというときに外せる ▶金属アレルギーの心配がない
▶痛みが少ない
▶ホワイトニングが同時に可能
▶装置が当たってできる口内炎などのトラブルが少ない |
|
デメリット
|
▶20時間以上の装着が必要
▶マウスピースを常につけているので、しゃべりずらい
▶治療の結果は自己管理にゆだねられる(マウスピースを入れないと治らない)
▶マウスピースを紛失すると実費がかかる |
|
マウスピース矯正(インビザラインgo) |
ワイヤー矯正 | |
| 治療部位 | 前から5番目の歯までの矯正 | 前から3番目の歯までの矯正 |
| 咬み合せ | 6、7番目の咬み合せは変わりません | 4~7番目までの咬み合わせは変わりません |
| 見た目 | 透明なプラスチックでできているので目立ちません | 歯の表面に白い装置とワイヤーを使用するので目立ちます |
| 痛み | 弱い力で少しずつ歯を動かすので痛みが少ないとされています。マウスピースなので粘膜を傷つけることもありません。 | ワイヤーを入れた数日間に多少の痛みが出ることがあります。歯の表面から突出した装置やワイヤーの先が粘膜を傷つけることがたまにあります。 |
| 食事 | 食事中はマウスピースを外せるので、普段と同じように食事ができる。 |
粘着性のある食べ物は歯の表面の装置にくっつきやすいので注意が必要です。また硬い食べ物も外れやすくなるので要注意 |
| 発音 | マウスピースをしたままの発音はしずらい |
ほとんど影響はありません |
| ブラッシング | マウスピースを外して磨けるのでブラッシングが容易になります。ただし20時間程度つけているのでつける前には必ずブラッシングが必要です。 | 装置の周辺に磨き残しができやすいので、専用のブラシを使用する必要があります。 |
| その他 |
長時間マウスピースを入れられない方や自分の意志で行うことになるので、自己管理に不安な方には不向きな治療方法です。 |
装置を歯の表面に固定してしまうので、自分では取り外しできません。つまり自分で管理しなくても歯が動いてくれます。 |
invisalign go パンフレットより
Step 2 精密検査
アライン社にデーターを送信してより具体的な治療計画が送信されてきます。
30.800円(税込)
Step4 治療開始
マウスピースを4回分まとめてお渡しいたします。歯の調整が必要な場合もあります
片顎 242.000円(税込)
両額 305.800円(税込)
Step 5 モニタリング
計画通り歯が動いているかチェックします。次のマウスピースをお渡しいたします。
Step 6 終了と保定
後戻り防止のためリテーナーを 装着してメインテナンスに 入ります
11.000円,22.000円、44.000円の3種類
医療法人 本町たなか歯科医院
地下鉄南北線 広瀬通駅 東2出口より錦町公園方面へ徒歩1分 仙台駅より徒歩15分
〒980-0014 仙台市青葉区本町2−9−7 仙台YFビル2F
TEL: 022-268-5321 / FAX 022-268-5314 / Mail mail@honchotanakadental.com
診療時間:月・火・水・金・土 9:30~13:30 / 14:30~18:00
最終受付 : 17:30 休診日 : 木曜・日曜・祝日
開設者 理事長 田中大介 / 管理者 院長 朝岡拓也
【きれいになる】
【予防する】
・歯質強化 むし歯予防処置
・フッ素、シーラント
【メインテナンスする】
・リスク別メインテナンスコース